מרפאת ד"ר תחסין יונס
מומחה לשיקום הפה
ד"ר תחסין יונס, רופא שיניים מומחה לשיקום הפה, בעל למעלה מ-15 שנות ניסיון, נחשב לאחד מהמובילים בתחום שיקום הפה ואסתטיקה דנטלית. ד"ר יונס מציע טיפול מקצועי ואדיב בסביבה חמה ותומכת. במרפאתו שוררת אווירה רגועה וביתית, המשלבת את הציוד המתקדם ביותר, ומספקת לכל מטופל חווית טיפול מקצועית ונעימה, עם מענה לכל מגוון טיפולי השיניים.
תור לרופא
שירותי המרפאה
טכנולוגיות מתקדמות
20 שנות ניסיון
מומחה לשיקום הפה
למה לבחור במרפאת ד"ר תחסין יונס ؟
מומחה לשיקום הפה
- טכנולוגיות מתקדמות כמו סריקה דיגיטלית תלת-ממדית והדמיית חיוך
- שימוש בחומרים ובמעבדות ברמה הגבוהה ביותר
- תכנון חיוך ושיקום הפה בשיתוף מלא עם המטופל
- טיפול מותאם אישית – אסתטי, שיקומי או משולב
- סביבת טיפול רגועה, צוות מקצועי ויחס שמתחיל בהקשבה אמיתית
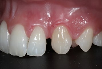
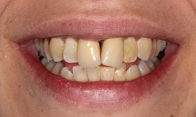
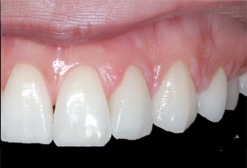
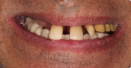
לפני ואחרי הטיפול
חוות דעת של מטופלים
-
חנין חיפה
אני מטופלת של ד״ר תחסין יונס מזה שנים. כמומחה בשיקום הפה, ליווה אותי בסדרת טיפולים – הלבנה, שתלים וטיפולים נוספים והתוצאות מצוינות. ד״ר יונס מקצועי, סבלני ומעניק יחס אישי שמשרה תחושת ביטחון מלאה. אני סומכת עליו וממליצה עליו בחום.
-
אילה חיפה
עקירה בוצעה בקלות, בלי כאב, עם יחס אישי נהדר,אחזור לטיפול רק אצלו
-
דימא חיפה
מהבדיקה הראשונה ידעתי שאני נמצא בידיים טובות , דר יונס מסביר הכל ,מראה את הפה בתלת מימד ומה צריך לעשות . פשוט מקצועי ואמין
-
נטשה
מקצועיות שאין עליה!, ממליצה מכל הלב
Read more -
גראר א'
מטופל של ד"ר יונס כבר שנים, וגם כל המשפחה. עברתי עקירות, שתלים וכתרים שמחזיקים מצוין לאורך זמן. כעת בסדרת טיפולים נוספת, ותמיד מרגיש בידיים מקצועיות ואכפתיות. שירות ברמה גבוהה בכל ביקור.
-
דניאל
היה לי פחד מטיפולי שיניים וזה השתנה לחלוטין. ד"ר תחסין יונס גרם לי להרגיש רגוע מהרגע הראשון. כל הטיפול עבר בלי לחץ,מסביר כל שלב ושלב עם יחס אנושי ומרגיע.
Read more